Chloroquine Prevents Tumor Formation in Mouse Models
By Biotechdaily staff writers
Posted on 15 Jan 2008
Posted on 15 Jan 2008

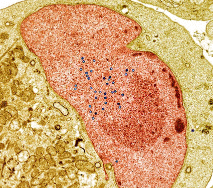
Image: Colored transmission electron micrograph (TEM) of a section through the nucleus (orange) of a cancerous white blood cell, showing several Epstein-Barr virus particles (blue). (Photo courtesy of Steve Gschmeissner / SPL).
Investigators from St. Jude Children's Research Hospital (Memphis, TN, USA) studied the effect of chloroquine, which is known to mildly suppress the immune system, on tumor formation in a mouse model of Burkitt lymphoma and in ATM-deficient mice (a mouse model of ataxia telangiectasia).
They reported in the December 20, 2007, online edition of the Journal of Clinical Investigation that chloroquine effectively prevented cancer in the two mouse models. The mouse model of Burkitt lymphoma is a Myc-induced lymphoma, with Myc being protooncogene that is overexpressed in a wide range of human cancers. The drug also impaired spontaneous lymphoma development in the mouse model of ataxia telangiectasia.
Anti-cancer activity in both models was dependent on the activity of the p53 gene.
Chloroquine appeared to be effective in inducing the cellular features of autophagy (self-eating) and mediating its effects by inducing lysosomal stress and provoking p53-dependent cell death. The drug failed to inhibit tumor formation that was p53-independent.
The authors suggested that chloroquine or similar agents targeting lysosome-mediated degradation might be effective in cancer prevention.
Related Links:
St. Jude Children's Research Hospital







