根据糖代谢的变化诊断肝癌
By LabMedica International staff writers
Posted on 14 Jul 2016
基因表达的改变导致癌细胞代谢果糖的方式不同于健康细胞,因而可作为诊断肝癌的新生物标记物。Posted on 14 Jul 2016
人体摄入的果糖主要在肝脏内代谢,现在已经证明,相较正常肝细胞,肝细胞癌(HCC)细胞的果糖代谢率和活性氧水平显著降低。

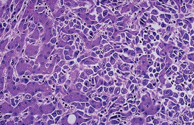
图片:肝细胞癌的组织病理图,大多数恶变细胞集中在右边,与大多数在左边的较大的正常肝细胞交织但能清楚分辨(图片蒙犹他大学医学院惠赐)。
美国德克萨斯大学MD安德森癌症中心的科学家及其同事发现,肝肿瘤细胞内果糖代谢率的降低是由果糖代谢酶(KHK)基因的异常可变剪接引起的。这导致人体表达多种名为KHK-A的基因产物的表达,失去处理果糖的能力。科研小组发现KHK-A的蛋白激酶活性促进了肿瘤细胞DNA和核糖核酸(RNA)的合成,且刚发现的KHK-A对于肝脏肿瘤的形成至关重要。激酶使细胞能够传输磷酸基,对产生能量和调控蛋白质至关重要。
科研小组发现KHK-A起到蛋白质激酶的作用,磷酸化并激活磷酸核糖焦磷酸合成酶1 (PRPS1),促进依赖戊糖磷酸途径的全程核酸合成和肝细胞癌的形成。此外,HCC样本中V-Myc禽骨髓细胞瘤病毒癌基因同源物(c-Myc)、核内不均一核糖核蛋白H1/2 (hnRNPH1/2)以及KHK-A表达水平和PRPS1 Thr225磷酸化水平彼此相关联,并与HCC预后不良有关。
该研究的论文发表于2016年4月18日的《自然》杂志《细胞生物学》分册。作者总结说,他们发现了HCC细胞与正常肝细胞果糖代谢率不同的重要深层机理,并表明KHK-A蛋白激酶活性对于促进全程核酸合成和肝细胞癌形成的重要作用。论文的资深作者、神经肿瘤学教授Zhimin Lu博士说:“我们相信这一蛋白激酶活性可用作治疗肝肿瘤的目标。我们的研究揭示了肝脏和肝肿瘤细胞如何利用果糖的重要深层机理,表明KHK-A蛋白对于刺激肿瘤形成的重要作用。”
Related Links:
德克萨斯大学MD安德森癌症中心




.jpg)



