We use cookies to understand how you use our site and to improve your experience. This includes personalizing content and advertising. To learn more, click here. By continuing to use our site, you accept our use of cookies. Cookie Policy.

LabMedica

Download Mobile App
Recent News Expo Clinical Chem. Molecular Diagnostics Hematology Immunology Microbiology Pathology Technology Industry Focus

不同染色法疟疾血片的比较

By LabMedica International staff writers
Posted on 21 Apr 2015
疟疾的早期寄生虫学诊断是疟疾治疗和控制的基石,虽然疟疾的快速诊断检验使用越来越多,但显微镜检查仍是疟疾诊断的标准方法。
疟疾流行区域使用薄涂片和厚涂片诊断疟疾,但血中元素的检查还能显示其他引起发热的原因,包括白血病,或病毒感染或细菌性败血症的迹象,具体取决于使用的染色技术。

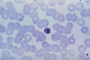
图片A:吉姆萨染色血片中寄生的恶性疟原虫的显微照片(照片由CDC提供)。
图片A:吉姆萨染色血片中寄生的恶性疟原虫的显微照片(照片由CDC提供)。
图片B:外周血涂片利什曼氏染色的显微照片(照片由Quazoo提供)。
图片B:外周血涂片利什曼氏染色的显微照片(照片由Quazoo提供)。
Mahidol University(Bangkok,Thailand)的科研人员在印度的国际团队中工作,检验了2012年8月至12月间在当地医院住院的1180件发热病例的外周血涂片。同时使用10微升乙二胺四乙酸(EDTA)处理的血样制备了两张薄涂片和厚涂片,一张用吉姆萨染色,另一张用利什曼氏染色。
固定后,血涂片用吉姆萨染色(Qualigen;Mumbai,India)或用利什曼氏染色(S D Fine-Chem Ltd.;Mumbai,India)。吉姆萨染色切片和利什曼氏染色切片中,厚涂片用于诊断和定量评估,而薄涂片用于物种鉴定。用两个显微镜分别量化所有疟疾阳性病例每200个白细胞(WBC)的寄生虫血症。
比较1180名发热患者经不同染色法的血涂片,111名患者的血涂片经吉姆萨染色鉴别出寄生虫血症,110名患者的血涂片经利什曼氏染色鉴别出寄生虫血症。有92名患者感染了恶性疟原虫,2名患者感染了间日疟原虫,17名患者感染了这两种寄生虫。共有276名患者有其他异常症状,包括嗜中性粒细胞指标值下降、非典型淋巴细胞、感染性单核细胞征兆,以及1例急性淋巴母细胞性白血病(ALL)。染色方法不同检出寄生虫血症的差异随着寄生虫密度的增大而增高。
作者得出结论,薄涂片和厚涂片利什曼氏染色法(曙红-亚甲蓝溶液染色)是吉姆萨染色的一种优良替代法,用于鉴别疟原虫,且利什曼氏染色法令红细胞和白细胞形态可视化的效果更胜一筹。利什曼氏染色所需的时间较短,这在诊断实验室不足的国家(诸如印度)具有重要的优势。研究已发表于2014年12月30日刊的Malaria Journal(疟疾杂志)。

Related Links:
Mahidol University 
Qualigen 
S D Fine-Chem Ltd 



New
Gold Member
Aspiration System
VACUSAFE
POC Helicobacter Pylori Test Kit
Hepy Urease Test
New
Immunofluorescence Analyzer
IFA System
New
All-in-One Molecular System
AIO M160

Latest 微生物学 News



INTEGRA BIOSCIENCES AG