用超灵敏测定检测不显症状的低密度疟疾
By LabMedica International staff writers
Posted on 24 Mar 2016
人们需要可扩展的高灵敏度诊断方法引导杀灭疟疾的干预疗法,虽然传统的显微镜检和快速诊断检验(RDT)适于诊断显现症状的疟疾感染,但还需要更灵敏的检验筛查不显症状的低密度感染。Posted on 24 Mar 2016
日前开发成功的一种改进型测定可检测核糖核酸(RNA)与DNA,从而利用少量血液中RNA拷贝数高的特点,用一种稳定化试剂保存针刺指尖或耳垂所获少量血液中的核酸,该过程只需很少的样本处理,且无需冷链。

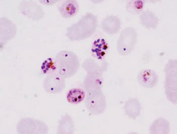
图片:外周血涂片的显微图像显示恶性疟原虫的裂殖体阶段和滋养体阶段(图片蒙清迈大学惠赐)。
美国马里兰大学医学院的科学家及其同行收集了缅甸东南部三个镇的血样。收集的指血用于现场执行韩国龙仁市标准诊断股份有限公司的疟疾Ag P.f/Pv, RDT,把0.3毫升血放入采集管。用凯杰公司(Qiagen; Valencia, CA, USA)的QIAamp 96 DNA血液试剂盒从200微升血液/稳定剂混合物中提取总核酸,但又用50微升缓冲液洗脱。
科学家开发了一种逆转录聚合酶链反应(RT- PCR),用于恶性疟原虫和间日疟原虫18S核糖体RNA基因和核糖体RNA的多重检测。将仿真现场的样本保存14天,用样本保存缓冲液来评估分析灵敏度和特异性。此外又用RDT和超灵敏RT-PCR检验了缅甸东南部的1,750份现场样本,后者在罗氏诊断公司(Indianapolis, IN, USA)的Lightcycler 96或480实时PCR仪上运行。
在仿真现场条件下确定检测限(LoD),恶性疟原虫的检测限是16条寄生虫/毫升以下,间日疟原虫的检测限是19.7份拷贝/微升(用质粒替代物),大约是RDT的万分之一。超灵敏RT-PCR和RDT都成功评估的1,739份样本中,RDT只判两份为阳性,而用超灵敏RT-PCR测得24份恶性疟原虫阳性、108份间日疟原虫阳性以及127份或为间日疟原虫阳性或为恶性疟原虫阳性。
该研究的论文发表于2015年12月23日的《疟疾杂志》(Malaria Journal)。作者总结说,超灵敏RT-PCR方法是一种经过现场测试的稳定的筛查方法,远比RDT稳定。进一步的优化可造就一件真正可扩展的工具,适于广泛监测不显症状的低水平恶性疟原虫和间日疟原虫寄生虫血症。
Related Links:
马里兰大学医学院
标准诊断股份有限公司
凯杰公司
罗氏诊断公司








