光纤显微镜有助于检测癌症
By LabMedica International staff writers
Posted on 28 May 2014
日前开发成功的一款便宜、便携、可重用的内窥显微镜将帮助临床医师检测和诊断早期疾病,主要是癌症。Posted on 28 May 2014
内窥显微镜是从人体内实时获取组织图像的工具或技术,一些临床医师把它当成光学活组织检查。

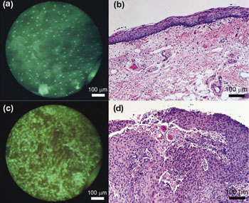
图片:高分辨率光纤内窥显微镜显示的活检样本组织特征与传统的组织学检查相同。健康口腔粘膜:(a)内窥显微镜;(b)传统组织学。口腔癌:(c)内窥显微镜;(d)传统组织学(图片蒙美国国家卫生研究所惠赐)。
美国阿肯色大学(Fayetteville, AR, USA)的一名工程科学家研制成一款便宜的内窥显微镜,它能实时生成组织的高分辨率亚细胞级图像。这款便携、可重用的光纤设备容易与传统的内窥镜封装在一起,将帮助临床医师检测和诊断早期疾病,主要是癌症。
该系统还有预览活检功能,也就是帮助临床医师在穿刺手术前和手术过程中瞄准理想的病灶位置,还能实时捕获肿瘤边缘的高分辨率图像,因而可用作术中监护设备。肿瘤边缘的图像将帮助外科医生知道肿瘤是否已完全摘除。内窥显微镜由一束光缆构成,其中包括数千条柔软的小口径光纤。这束光缆直径约一毫米,可被插入标准内窥镜的穿刺通道。
该系统需要局部的对比度增强剂来促进荧光成像。它能产生亚细胞级分辨率的图像,让临床医师能够看见可能引起癌前病症的早期细胞畸变。探头消毒后可重复使用。整台系统可放进传统尺寸的手提箱,造价约为2,500美元。
美国德克萨斯州休斯顿市M.D.安德森癌症中心测试了该系统的样机。那里的研究重点是导致食道癌的各种病症。研究人员生成了细胞结构和形态的高分辨率图像,特别是核质比,它是引起癌前病症的细胞行为的重要指征。通过对活检组织的标准组织病理检查证实了内窥显微镜的结果。
这款内窥显微镜的发明人、生物医学工程助理教授Timothy Muldoon博士说:“我的梦想当然是向大范围的医疗机构、医院和各类诊所推广这项技术,但也希望在乡村甚至是偏远地区普及。它的小巧体积和便携性让我们可以做到这一点。”
Related Links:
阿肯色大学
M.D.安德森癌症中心








