Обнаружены ассоциации заболеваний с четырьмя подклассами IgG
By LabMedica International staff writers
Posted on 19 Jan 2018
Иммуноглобулин G4-ассоциированное заболевание (IgG4-RD) является сравнительно недавно выявленным заболеванием, которое относится к группе иммунообусловленных нарушений, имеющих определенные гистопатологические, серологические и клинические признаки.Posted on 19 Jan 2018
IgG4-RD часто ассоциируется с повышенным сывороточным IgG4. Открытие IgG4-RD подчеркивает недостаток литературы, изучающей повышения других подклассов IgG и их потенциальные ассоциации с заболеваниями. Иммуноглобулин G4-ассоциированное заболевание может затрагивать один или несколько органов. Врачи также должны быть предупреждены о возможности того, что IgG4-RD может имитировать аутоиммунные ревматические заболевания, такие как системная красная волчанка, синдром Шегрена или гранулематоз с ангиопатией.

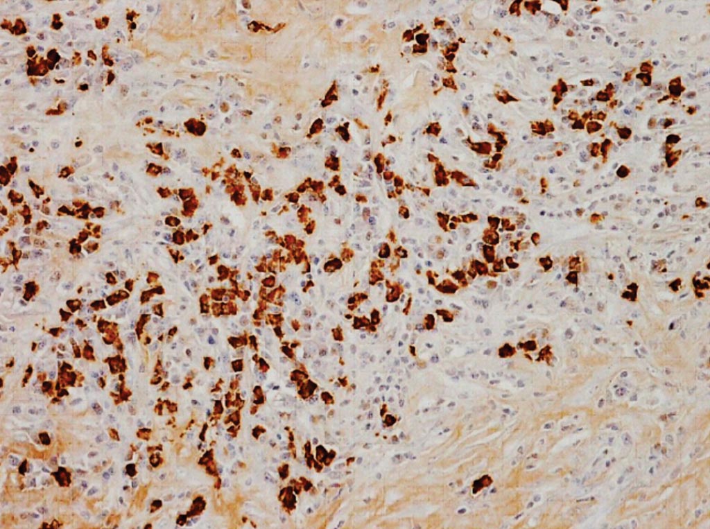
Иммуноокрашивание для иммуноглобулина G4 (IgG4) в IgG4-ассоциированной воспалительной аневризме аорты; обильная инфильтрация клеток IgG4-положительной плазмы (фото любезно предоставлено Университетом медицинских наук в Сиге (Shiga University of Medical Science)).
Ученые из Гарвардской медицинской школы (Harvard Medical School; Бостон, штат Массачусетс, США) выявили 552 пациента с изолированным повышением одного из подклассов IgG и провели систематический анализ амбулаторных карт для определения диагнозов этих пациентов. Они исследовали распределение диагнозов, используя точный критерий Фишера, чтобы определить, был ли диагноз значительно связан с изолированным повышением одного из подклассов IgG.
Исследователи обнаружили, что аутоиммунный панкреатит, аспирин–индуцированное респираторное заболевание (АИРЗ), полипы носовой полости, эозинофилия и целиакия были значительно связаны с изолированным повышением IgG4. Гепатит С и моноклональная гаммапатия были значительно связаны с изолированным повышением IgG1. Ревматоидный артрит (РА) ассоциировался как с изолированным повышением IgG1, так и IgG3. Гипотиреоз и синдром раздраженного кишечника (СРК) были значительно связаны с изолированным повышением IgG2.
Авторы пришли к выводу, что их исследование подтвердило некоторые установленные ассоциации между аутоиммунным панкреатитом, АИРЗ, полипами носовой полости и эозинофилией и повышенным уровнем сывороточного IgG4, а также между моноклональной гаммопатией и гепатитом C и повышением сывороточного IgG1. Оно выявило новые ассоциации между РА и повышением IgG1 и IgG3, гипотиреозом и СРК и повышением IgG2, а также между целиакией и повышением IgG4. Исследование было опубликовано в журнале "Семинары по артриту и ревматизму" (Seminars in Arthritis and Rheumatism) в октябре 2017 года.
Ссылки по теме:
Гарвардская медицинская школа







