减少PSA筛查可能延误早发前列腺癌的治疗
By LabMedica International staff writers
Posted on 08 Apr 2016
对定期前列腺特异抗原(PSA)筛查的反对已持续两年半。前列腺穿刺活检(PNB)的次数已有所减少,确实接受PNB的患者诊断出高风险疾病的概率高得多,说明过度诊断和过度治疗也许有所减少。然而,可能治愈的中等风险前列腺癌的检测率可能也同时降低。一项新研究比较了建议减少PSA筛查前后接受PNB的患者的结果,发现这些可治疗的癌症可能得不到及时诊断。Posted on 08 Apr 2016
自从上世纪80年代推行PSA筛查以来,前列腺癌的死亡率下降了40%左右,而其中40%–70%的情况是由于筛查。然而,放疗和手术对生活质量有不利影响。由于PSA筛查益处不明确,再加上治疗引起的并发症,因此美国预防医学工作组(USPSTF)于2011年10月作出结论,PSA筛查弊大于利,进而反对定期筛查。

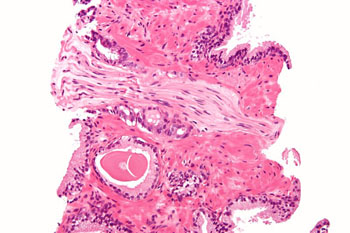
图片:前列腺腺癌产生神经周入侵的显微图像,传统型(腺泡型)是最常见的前列腺癌。前列腺活检,H&E染色(图片来自Nephron和Wikimedia)。
研究负责人、美国华盛顿州西雅图市弗吉尼亚梅森医疗中心的John M. Corman大夫说:“我们的研究结果证明减少PSA筛查可能延误诊断,进而导致本可避免的癌症致死。与USPSTF提出建议前30个月期间接受PNB的患者相比,建议出台后30个月期间接受PNB的患者诊断出高风险前列腺癌的相对风险升高了33%。可能不必要的穿刺活检次数有所减少,但代价似乎是检测到的中等风险前列腺癌例数也相应减少。因此,主要顾虑不仅是诊断出高风险疾病的风险升高,还有更重要的是,错失对中等风险前列腺癌患者实施干预治疗的机会。”
Corman大夫解释说:“我们研究的重要性不仅在于PNB反映出的病人和肿瘤特点的变化,还在于USPSTF指导意见发布后有显著统计意义的变化发生得如此之快。前列腺癌筛查的目标是充分发挥PSA筛查等筛查工具的长处,同时尽量减少过度诊断和过度治疗带来的害处。平衡的策略应该是更巧妙地运用现有工具,贯彻美国癌症学会推荐的决策共享,并开发更有效的筛查技术,而不是废除PSA筛查。”
该研究的论文由Banerji JL、Wolff EM等人发表于2016年1月号的《泌尿学杂志》(Journal of Urology)。
Related Links:
弗吉尼亚梅森医疗中心




.jpg)


