用创新性生物芯片在床旁执行血细胞计数
By LabMedica International staff writers
Posted on 24 Mar 2016
现在急需一种便携式自动化床旁血细胞计数器,它用一滴血只需几分钟就能产生结果,无需任何受过训练的专业人员操作仪器。Posted on 24 Mar 2016
目前用作完全血细胞计数(CBC)的金标准是昂贵的血液分析仪,今天几乎所有的CBC都要求病人去往带有大型化验室的医院或中央实验室。

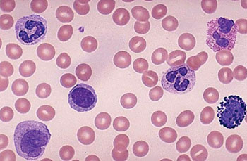
图片:一层血液薄膜的显微图像显示各种各样的白细胞,这是分类计数的一部分(图片蒙犹他大学惠赐)。
美国伊利诺伊大学香槟分校的科学家开发的微流控生物芯片能够用一滴全血执行分类CBC。取10毫升血液,在片上裂解红细胞(RBC)并用微制造工艺制成的铂电极以电化方式计数白细胞后,即可完成总白细胞及其3分类的计数。对于红细胞和血小板,在片上用磷酸盐缓冲生理盐水(PBS)稀释一毫升全血,再以电化方式计数细胞。总测量时间不到20分钟。
科研小组已开发出该细胞计数器的便携式样机。计数器的基础装置很可能是手持式的,所用的样本盒与信用卡差不多大。他们估计一次检验的成本约为10美元,而不是现行检验的100美元。这项技术可扩展,科研小组还计划研究将其用于其它领域,如动物诊断、输血分析和管理化疗的血细胞计数。
该研究的论文发表于2015年12月11日的《科技》(Technology)杂志。第一作者、生物电子学专家Umer Hassan博士说:“这项技术有巨大的商业化潜力,该技术的转化将使得操作设备只需极少经验或根本无需经验。病人甚至能舒适地在家中进行检验,并通过电子方式把结果分享给他们的家庭医生。”
Related Links:
伊利诺伊大学香槟分校








