发现遗传性结肠癌的新基因
By LabMedica International staff writers
Posted on 21 Sep 2016
结肠中形成大量息肉,如未经治疗,则有发展成结肠癌的高度可能性。出现大量息肉常由遗传所致;这种情况可能在多个家族成员中发生。Posted on 21 Sep 2016
蘑菇状结肠息肉从粘膜增生出来,直径从几毫米至几厘米。这些息肉是良性的,通常不会引发任何症状,但是,他们能转变成恶性肿瘤或结肠癌。医生们将结肠中形成大量息肉称为“息肉病”。

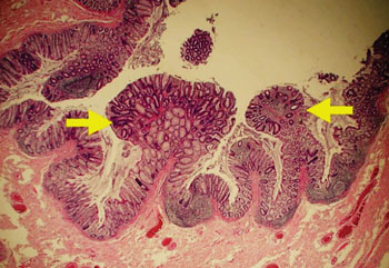
图片:有多发性腺瘤性息肉的结肠组织病理学(照片由Group14提供)。
他们发现了两个不相关个体,这两人的染色体5上错配修复基因MutS Homolog 3(MSH3)有不同复合杂合性丧失功能的(LoF)生殖系突变。分析有病个体的肿瘤组织,显示出高二核苷酸和四核苷酸微卫星不稳定性(EMAST),免疫组化染色显示,正常和肿瘤组织中完全丢失核MSH3。通过研究MSH3基因,对其他一些已有的原因不明的息肉病例进行明确的诊断。此后,可以检测有风险家族的健康人员的突变。
Stefan Aretz博士,本研究的资深作者和教授说明,“要证实此基因突变与该疾病的因果关系,仍面临挑战。因此仅将确证的该基因突变携带者纳入加强筛查计划。对致癌分子机制的了解还是开发新靶向药物的一个前提。”本研究已发表于2016年8月4日刊的American Journal of Human Genetics(美国人类遗传学杂志)。
Related Links:
University of Bonn







